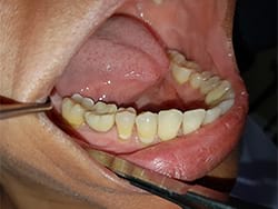
This patient had severe crowding requiring orthodontic treatment |
|
The patient was thrilled with the final result. |
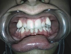
This patient had severe crowding requiring orthodontic treatment |
The patient was thrilled with the final result. |
Before braces |
After braces |
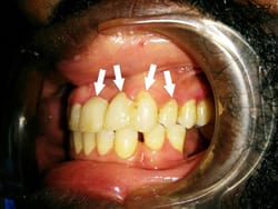
This patient was unhappy with the large space between her front teeth. |
The gap was closed using white composite resin fillings. |
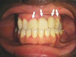
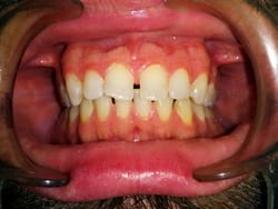
Pt had a large gap between his front teeth |
White fillings were added to the front four teeth to close the gap and improve appearance |
Discoloured and fractured front tooth |
The front tooth after being restored with an aesthetic crown |
 |
 |
 |
 |
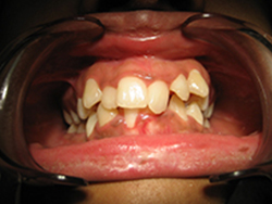
Crooked smile before Invisalign |
A great smile after Invisalign |
 |
 |
 |
 |
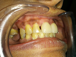
Before implants |
After implants |
Patient had discoloured, worn out teeth. |
He was treated with Invisalign to align the teeth, then Veneers to correct the colour and shape of the teeth |
Patient had discoloured, worn out teeth. |
He was treated with Invisalign to align the teeth, then Veneers to correct the colour and shape of the teeth |
Patient had discoloured, worn out teeth. |
He was treated with Invisalign to align the teeth, then Veneers to correct the colour and shape of the teeth |
Patient was not happy with shape, colour and alignment of her teeth |
These were corrected with Porcelain Veneers |
Patient was not happy with shape, colour and alignment of her teeth |
These were corrected with Porcelain Veneers |